[Actualizado] 14 detenidas el 1 de mayo. Han sufrido palizas durante la detención y el traslado


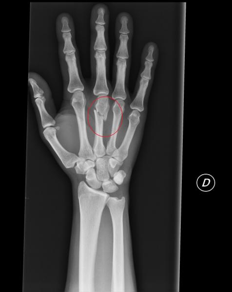
Foto: Dedo roto de uno de los detenidos el 1º de mayo
A las 16.30 han salido el resto de detenidos de la Ciutat de la Justicia. Uno de ellos con los dos brazos rotos.
Denuncia publica de la brutalitat policial al 1 de maig
A les 11 persones que aquest dimarts han passat a disposició judicial se'ls imputa un delicte de desordres públics i atemptat contra els agents de l'autoritat. Un dels detinguts haurà de passar pel jutjat cada 15 dies, com a mesura cautelar, segons el jutjat.
A las 11 personas que este martes han pasado a disposición judicial les imputa un delito de desórdenes públicos y atentado contra los agentes de la autoridad. Uno de los detenidos tendrá que pasar por el juzgado cada 15 días, como medida cautelar, según el juzgado.
Llibertat.cat
Actualizado (Indymedia Barcelona): A les 2,30 de la matinada han sortit en llibertat de la gossera de les Corts 3 companyes i 1 company detinguts el 1er de Maig. Han sofert pallises durant la detencio i el trasllat, els acusenb de desordres publics a tots i de danys i atentat a uns cuants. Absolució detinguts 1er Maig!!
---
A las 2.30 de la madrugada han salido en libertad de la perrera de les Corts 3 compañeras y 1 compañero detenidos el 1º de Mayo. Han sufrido palizas durante la detención y el traslado, los acusan de desórdenes públicos a todos y de daños y atentado a unos cuantos. Absolución detenidos 1º de Mayo!!
http://barcelona.indymedia.org/newswire/display/419231/index.php
Las detenidas pasarán también esta noche en la comisaría de les Corts y mañana martes, los trasladarán a la Ciutat de la Justicia para declarar por los diferentes “delitos” que dicen que han cometido. Por ello, es allí donde se ha convocado a las 10 de la mañana otra concentración de apoyo. Sabemos que uno de los detenidos ha sido maltratado.
Concentración de apoyo a las detenidas
Con muchos motivos, pero sobretodo por las 14 detenciones del pasado 1 de mayo en Barcelona, más de cien personas se concentraron ayer a las ocho de la tarde frente a la comisaría de Les Corts exigiendo la libertad sin cargos de las allí encerradas.
Una hora después se cortó Travessera de Les Corts, calle donde se encuentra la comisaría, durante una hora aproximadamente. La concentración comenzó a andar, rodeando un par de veces el edificio y bajo los gritos de “Mossos d'Esquadra torturadors”, “Llibertat, presas al carrer”, "Sin pistola no sois nada" o “Que la crisis la paguen los ricos". También se ha recordado a Patricia Heras, presa del 4F y asesinada por el Estado y el sistema penal el pasado martes.
Siete furgones de antidisturbios se han trasladado a la comisaria, creando un cordón policial frente a esta. Un número exagerado para intentar intimidar a las cien personas que les han seguido gritado lo que son y muchas verdades en su propia casa.
Las detenidas han pasado también esta noche en comisaría y hoy, martes 3, los trasladarán a la Ciutat de la Justicia, para declarar por los diferentes “delitos” que dicen que han cometido. Por ello, es allí donde se ha convocado hoy otra concentración de apoyo.
Noticia modificada y actualizada. Mañana más información en La Haine. Pincha aquí para ver la original en catalàn.
Las movilizaciones del Primero de mayo, centradas en la lucha contra los recortes sociales, se han saldado sin incidentes a excepción de la manifestación de Barcelona, que acabó con varias personas detenidas e importantes cargas por parte los Mossos d'Esquadra.
La manifestación convocada por diversos colectivos y organizaciones ha concentrado los incidentes de las movilizaciones del Primero de Mayo. Según las últimas confirmaciones recogidas por Alerta Solidaria, hasta 14 personas podrían estar detenidas. Ayer los Mossos continúaban negando información al Colegio de Abogados y Abogadas.
Asimismo, decenas de personas han sido contusionadas por las diversas cargas de los Mossos d'Esquadra. Según informan diversos médios, los detenidos estarían acusadas de desórdenes públicos y los daños.
Por otra parte, varias participantes en la manifestación han sido retenidos e identificados por agentes de los Mossos d'Esquadra, como un grupo de personas que ha sido retenido durante más de 40 minutos alrededor del Hospital Clínic.
Llibertat.cat
--
Hoy a las 20h se convoca concentración en la comisaría de Les Corts (Travessera de les Corts, 319-321), para apoyar las compañeras detenidas y reclamar su libertad. No dejemos a solas a las detenidas
Las detenidas comenzarán a declarar esta noche y tiene que estar gente a la concentración para que no haya que pasen una noche más en los calabozos de la comisaría.
Organiza: Solidàries anticapitalistes







